 
 Your Mansfield North Dentist
 
 Opening Hours
| Day | Hours | 
|---|---|
| Monday | 8:30 a.m. - 5:30 p.m. | 
| Tuesday | 8:30 a.m. - 5:30 p.m. | 
| Wednesday | 8:30 a.m. - 5:30 p.m. | 
| Thursday | 8:30 a.m. - 5:30 p.m. | 
| Friday | 8:30 a.m. - 3:00 p.m. | 
| Saturday | 8:00 a.m. - 2:00 p.m. | 
| Sunday | Closed | 
Your Mansfield North DENTAL IMPLANT EXPERTS
Frequently Asked Questions
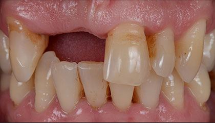
How long does the dental implant process take?
While multiple appointments are involved, the exact timeline varies based on your unique situation. Typically, there are five main steps in the process, although some patients may only require three depending on their existing bone health and other factors. Each step has an average healing period ranging from three to six months. Most patients at Today Dental of Mansfield North complete the entire process within four to five months.
What's the cost involved in dental implants?
The cost of dental implants can vary depending on individual circumstances. Typically, they range from $1,200 to $2,500 per implant, but this may not include additional procedures like extractions, bone grafting, abutments, or the final crown. We understand cost concerns at Today Dental of Mansfield North, and we're committed to making implants accessible through various options:
- Working within your budget: We discuss various financial options and explore ways to make implants affordable for you.
- Maximizing insurance benefits: We help you maximize your dental insurance coverage to minimize out-of-pocket costs.
- Offering flexible payment solutions: We provide our in-office CareDent Plan for additional discounts on your treatment.
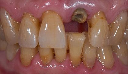
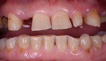
What happens during the first visit?
During your first visit, we will conduct a comprehensive evaluation, assessing your bone health, gums, and overall oral health to determine if implants are the right choice for you. We will also present a transparent treatment plan outlining the necessary steps, timeline, and associated costs, ensuring there are no hidden fees. Whenever possible, we try to streamline the process by initiating treatment on the same day, minimizing the number of appointments required.
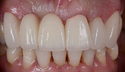
Why choose dental implants?
Dental implants offer several advantages over other tooth replacement options. They provide a natural look and feel, closely resembling natural teeth in both appearance and function. Additionally, with proper care, implants have a high success rate, providing a durable and reliable long-term solution for missing teeth.
Will it be painful?
Your comfort is our top priority. Our experienced dentist utilizes the latest technology and techniques to minimize discomfort throughout the entire implant process. We also offer various pain management options, including local anesthesia, sedation dentistry, and nitrous oxide, to ensure a comfortable experience for every patient.
 
  
  
  
  
  
  
  
  
  
  
  
  
  
  
  
  
 