We Feel You…

Dentists Have Fillings Too

Tooth Colored Filling to Match Your Beautiful Smile!

Your Mansfield North Dentist

Owners of Today Dental

Today Dental Crowley

Experienced dentist who cares

Our dental fillings are above and beyond the average restoration. At Today Dental of Mansfield North our dentist has spent considerable time in Continuing Education courses to master the art and esthetics of resin restorations.

Stress-Free Dental Experience

Acknowledging the anxiety associated with dentistry, we offer a range of sedation options (IV, Conscious, & Nitrous), transforming your dental fillings experience from dread to relaxation.

Long lasting fillings

Your Mansfield North dentist employs advanced techniques and modern equipment for efficient and high-quality dental fillings, ensuring your fillings are there to stay.

Conserving nature tooth structure

Deciding between a crown and a filling? At Today Dental in Mansfield North, we promote conservative dentistry. Our commitment is to avoid over-treating, doing only what’s necessary.

Easy treatment plans

Our dentist’s extensive training guarantees your comfort, along with clear, concise treatment plans and lasting conservative dental care. Understand your treatment and no unexpected costs!

Pain free treatment!

We understand the importance of having not only a pain free in-office experience, but also after you leave. We use products and materials to relieve potential postoperative pain.

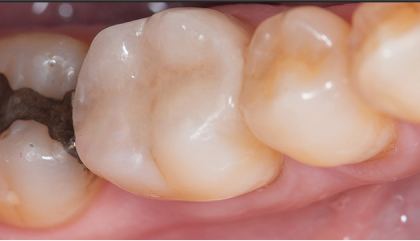
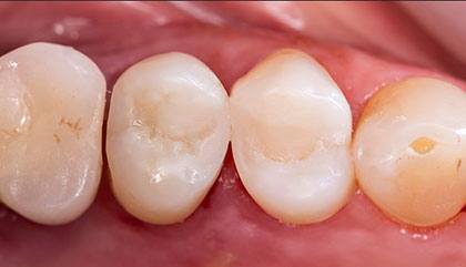
The Art of Dental Fillings

before
after
before
after
before
after
before
after

Opening Hours

DayHours
Monday8:30 a.m. - 5:30 p.m.
Tuesday8:30 a.m. - 5:30 p.m.
Wednesday8:30 a.m. - 5:30 p.m.
Thursday8:30 a.m. - 5:30 p.m.
Friday8:30 a.m. - 3:00 p.m.
Saturday8:00 a.m. - 2:00 p.m.
SundayClosed

YOUR Mansfield North TEAM

Mansfield North Office
Mansfield North Office
Mansfield North Office
Mansfield North Office
Mansfield North Office
Mansfield North Office
Mansfield North Office
Mansfield North Office
KG
Karen G.

Excellent experience. From the front desk person to the dentist herself, everyone was very kind and understanding. They helped with my fears and worked through my financial issues, too. I would highly recommend them.

DH
Diane H.

My first time here, very friendly staff and doctor. Friendly relaxed atmosphere, I feel confident in going back for treatment. They explained things thoroughly, answered all my questions and concerns.

AQ
Amy Q.

The best dental experience took my sister in law for a dental emergency and she was taken care of with care and compassion great office and staff will be coming back in a week to continue care after done healing

YW
Yolanda W.

Very polite, everyone very friendly, they did awesome work on my son's teeth if you want to be be treated with love and respect, you won't be disappointed give Today Dental a try I guarantee you will come back permanently...

You’ve made it this far. . .

FREE Teeth Whitening

Just ask at your first visit

Your Mansfield North DENTAL FILLING EXPERTS

Frequently Asked Questions

How long does a filling take?

Dental fillings typically take 15-30 minutes per quadrant (like the upper right side of your mouth) after the initial exam. At Today Dental of Mansfield North, we prioritize completing all your fillings in one visit whenever possible, saving you time and money.

What's the cost of a filling?

Fillings are generally the most affordable way to restore a tooth's health, function, and appearance. The cost depends on two main factors:

  • Location: Fillings on teeth further back in your mouth tend to be more expensive than those on front teeth.
  • Number of surfaces filled: The more surfaces (out of six) that need filling due to decay or fracture, the higher the cost.

In most cases, dental insurance covers 80% to 100% of the cost. If you don't have insurance, we offer our in-office discount plan (CareDent) to provide insurance-like pricing.

What happens during my first filling appointment?

In some cases, the dentist might numb the area before the procedure. For shallow decay, anesthesia might not be necessary. The dentist will then use a handpiece (drill) to remove any decay and fractures from the tooth. They will then fill the tooth with a tooth-colored composite resin that hardens with a special light. Finally, they will adjust your bite, polish the filling, and you're done!

Why get a filling?

At Today Dental of Mansfield North, we prioritize conservative dentistry, meaning we aim to preserve as much of your natural tooth structure as possible. Whenever possible, dental fillings are a more conservative and cost-effective option compared to crowns. Our dentists will only recommend treatments you absolutely need, treating all patients like family with a commitment to quality and ethical practices.

Do you repair existing fillings?

Yes! Whenever possible, we prefer to repair existing fillings over complete replacements. However, if there's decay present, the dentist might need to remove the entire filling. We will always strive to preserve any previous dental work as long as it doesn't affect the function or durability of the tooth.