Crowns...

Absolutely
Experience Matters.
0
Crowns cemented... and counting ;)

Your Mansfield North Dentist

Owners of Today Dental

Today Dental Crowley

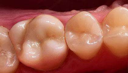
Durable and strong crowns

Unleash your perfect smile! We meticulously design a customized durable crown to fit your unique mouth. We consistently utilize the highest standards by integrating cutting-edge technology using state-of-the-art techniques.

Saving on dental costs

Save on dental costs at Today Dental of Mansfield North as we streamline our processes for affordability. Expect a remarkable dental experience that conserves your hard earned money.

Conservation minded

When it comes to crown treatment, our emphasis is on preserving the structural integrity of the tooth, guaranteeing its longevity for decades to come!

No pain!

As your dentist in Mansfield North Texas, ensuring a pain-free and comfortable experience is our utmost priority. Visit us to explore more about our multiple sedation options, which include IV sedation, conscious sedation, and nitrous oxide.

Less time in the chair

Through the integration of cutting-edge technology and efficient business practices, we’ve optimized efficiency, which results in less time in the dental chair. Reclaim that precious family time!

Expert dental professionals

Function and beauty! We’ve created the perfect dental crown from years of experience and years of Continuing Education courses. Our strong relationships with local labs ensures only the best porcelain and zirconia materials are used.

Great Crowns are Backed by Great Warranties

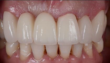
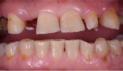
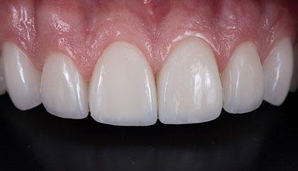
before
after
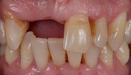
before
after
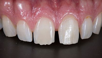
before
after
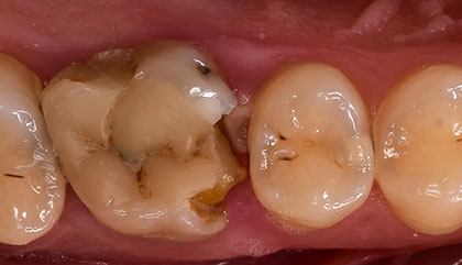
before
after

Opening Hours

DayHours
Monday8:30 a.m. - 5:30 p.m.
Tuesday8:30 a.m. - 5:30 p.m.
Wednesday8:30 a.m. - 5:30 p.m.
Thursday8:30 a.m. - 5:30 p.m.
Friday8:30 a.m. - 3:00 p.m.
Saturday8:00 a.m. - 2:00 p.m.
SundayClosed

YOUR Mansfield North TEAM

Mansfield North Office
Mansfield North Office
Mansfield North Office
Mansfield North Office
Mansfield North Office
Mansfield North Office
Mansfield North Office
Mansfield North Office
KG
Karen G.

Excellent experience. From the front desk person to the dentist herself, everyone was very kind and understanding. They helped with my fears and worked through my financial issues, too. I would highly recommend them.

DH
Diane H.

My first time here, very friendly staff and doctor. Friendly relaxed atmosphere, I feel confident in going back for treatment. They explained things thoroughly, answered all my questions and concerns.

AQ
Amy Q.

The best dental experience took my sister in law for a dental emergency and she was taken care of with care and compassion great office and staff will be coming back in a week to continue care after done healing

YW
Yolanda W.

Very polite, everyone very friendly, they did awesome work on my son's teeth if you want to be be treated with love and respect, you won't be disappointed give Today Dental a try I guarantee you will come back permanently...

You’ve made it this far. . .

FREE Teeth Whitening

Just ask at your first visit

Your Mansfield North CROWN & Bridge EXPERTS

Frequently Asked Questions

How long does it take to get a crown done?

Dental procedures like crowns and bridges typically involve two appointments spaced a few weeks apart. However, in urgent situations, like a chipped front tooth, crowns can be completed much faster. While some clinics offer same-day crowns, our experience indicates superior results come from crowns crafted in our on-site lab using high-heat techniques. At Today Dental of Mansfield North, prioritizing long-lasting functionality and optimal patient outcomes is our guiding principle.

Concerned about the cost of crowns?

Dental crowns are often a more budget-friendly option compared to alternatives like root canals with crowns, implants, or dentures. We understand the importance of affordability. Today Dental offers various options to fit your financial needs, including an in-house savings plan and flexible payment plans. Additionally, crown pricing varies depending on the location in your mouth and the material chosen, like porcelain, zirconia, or even metal. Cash-paying patients can expect costs within a range of $900-$1,400, while those with dental insurance may benefit from reduced costs.

Wondering what happens during your initial visit?

At Today Dental of Mansfield North, efficiency is key. Upon arrival, you'll be greeted warmly and escorted to the treatment area. To get a clear picture of your oral health, we'll take digital images and X-rays. The dentist will then perform a thorough examination and ask about any potential discomfort or sensitivity. If decay or fractures are identified, crown treatment might be recommended. In most cases, we strive to start treatment on the same day, reflecting our commitment to prompt and efficient care. Following tooth preparation for the crown, a temporary restoration will be placed by the dental hygienist. An impression of the prepared tooth will be taken, and you'll return in 2-3 weeks for permanent crown placement.

Unclear about dental bridges and their function?

Think of a dental bridge as a solution similar to a crown, but designed to address the gap created by one or more missing teeth. It consists of two or more crowns cemented to the teeth flanking the gap (called abutment teeth) and one or more artificial teeth (pontics) filling the space in between. The abutment teeth act as anchors, while the pontic effectively restores the appearance and functionality of the missing tooth/teeth. Bridges can be made from various materials, including porcelain, zirconia, or even a combination, and they are securely attached to natural teeth for optimal stability. While dental bridges offer a convenient and rapid solution for replacing one or two missing teeth, they might not be suitable for restoring numerous missing teeth. A dental professional can offer further guidance in such cases.

Unsure if a dental crown is the right choice for you?

At Today Dental of Mansfield North, we prioritize conservative approaches, aiming to preserve as much healthy tooth structure as possible. We believe that natural teeth offer unmatched functionality and durability. So, why consider a dental crown? Firstly, crowns act as tooth savers, protecting existing tooth structure compared to alternatives like implants or dentures that require tooth extraction. Additionally, crowns offer a simple and efficient solution to reinforce weakened, cracked, or decayed teeth. Furthermore, they can enhance both the aesthetics and functionality of your smile.