
Your Mansfield North Dentist

Opening Hours
Day | Hours |
---|---|
Monday | 8:30 a.m. - 5:30 p.m. |
Tuesday | 8:30 a.m. - 5:30 p.m. |
Wednesday | 8:30 a.m. - 5:30 p.m. |
Thursday | 8:30 a.m. - 5:30 p.m. |
Friday | 8:30 a.m. - 3:00 p.m. |
Saturday | 8:00 a.m. - 2:00 p.m. |
Sunday | Closed |
Your Mansfield North DENTURE EXPERTS
Frequently Asked Questions
Short on time?
Dentures can be ready in just a few weeks, significantly faster than dental implants which can take over a year. If you need a quicker solution, we offer rush options with temporary dentures available within 1-2 days. The typical timeframe for dentures involves 2-3 appointments spread over 3-4 weeks, depending on factors like whether it's a replacement or a new denture, healing time, and the type chosen.
Compared to other tooth replacement methods, are dentures generally affordable?
Yes, dentures are often a cost-effective option compared to other methods, especially with insurance. They generally cost between $550 and $2,000, depending on factors like the number of missing teeth, the material and type of denture chosen, and your insurance coverage. We also offer an In-Office Discount Plan for patients without insurance.
What to expect at your first visit:
The dentist will discuss your options with you, outlining the process, timeline, and associated costs. They may also take impressions of your mouth on the same day to expedite the denture creation process, minimizing the number of appointments required.
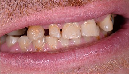
Can opting for dentures improve my quality of life?
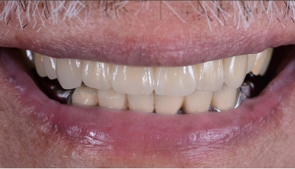
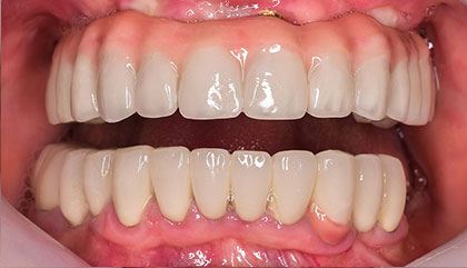
Absolutely! Dentures can significantly enhance your quality of life by allowing you to eat, speak, and smile with confidence again. Regardless of whether you're missing a few teeth or require a full set, dentures offer a versatile and cost-effective solution. Beyond their functional benefits, dentures can positively impact your facial structure by maintaining natural contours and preventing the sagging that can occur with tooth loss. With a variety of options available, including full dentures, partial dentures, and implant-supported dentures, we can find the perfect fit for your specific needs and lifestyle.
Do you offer denture repairs?
Yes! We prioritize efficiency, aiming to repair your dentures in 1-2 days in most cases. Whenever possible, we utilize conservative methods to focus on preserving and fixing your existing dentures. If repairs are viable, it's generally a faster and more cost-effective option compared to complete replacements. Your satisfaction and convenience are our top priorities!