 
 Your Mansfield North Dentist
 
 Opening Hours
| Day | Hours | 
|---|---|
| Monday | 8:30 a.m. - 5:30 p.m. | 
| Tuesday | 8:30 a.m. - 5:30 p.m. | 
| Wednesday | 8:30 a.m. - 5:30 p.m. | 
| Thursday | 8:30 a.m. - 5:30 p.m. | 
| Friday | 8:30 a.m. - 3:00 p.m. | 
| Saturday | 8:00 a.m. - 2:00 p.m. | 
| Sunday | Closed | 
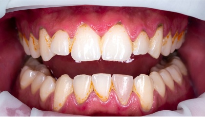
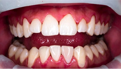
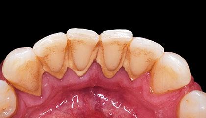
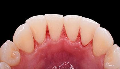
Your Mansfield North DENTAL cLEANING EXPERTS
Frequently Asked Questions
Need a dentist ASAP?
No sweat! We're called Today Dental for a reason - same-day appointments are our specialty. We know your schedule is packed, so just call us and we'll get you in, stat. Your smile is important to us, and we appreciate you choosing Today Dental!
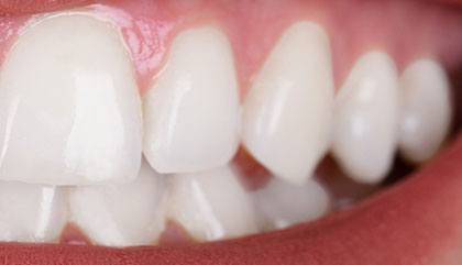
Curious about ultrasonic cleanings?
Think high-tech spa day for your teeth! No more scraping - instead, imagine sound waves and a special solution gently removing plaque and tartar. It's faster, less uncomfortable, and leaves your teeth feeling amazingly clean. It's like magic, but for your smile!
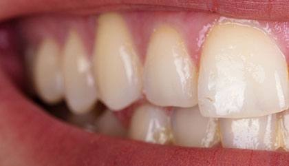
Deep cleaning (scaling and root planing) on the horizon?
We've got you covered! Our experienced team is here to help with any gum disease concerns. We'll assess your situation and recommend the best treatment plan, tailored just for you. Personalized care is our priority at Today Dental!
Can I get a regular cleaning before a deep cleaning?
While we love a clean smile, regular cleanings aren't the best solution for gum disease. Think of it like putting a Band-Aid on a broken bone - it wouldn't be very effective. In some cases, we might offer a "debridement" cleaning first to prepare you for the deep cleaning, but it's best to discuss your specific needs with us.
How long will I be in the dental chair?
It depends! Routine cleanings with an exam and X-rays take about an hour for returning patients and an hour and a half for new ones. Deep cleanings usually require a separate appointment and can last anywhere from 1 to 3 hours.
Want a clearer picture? Schedule an appointment and let's chat! We'd love to meet you and create a personalized plan to keep your smile healthy and happy for years to come.
 
  
  
  
  
  
  
  
  
  
  
  
  
  
  
  
  
 